Aller au contenu Aller aux coordonnées Aller aux paramètres d'affichage

À l'écoute de vos besoins et de ceux de vos patients

L'alliance parfaite de l'innovation, de l'art et de l'expertise dentaire

Nous sommes au service des professionnels à Montréal ainsi que sur la Rive-Nord et la Rive-Sud.

Prothèse amovible Montréal

Un laboratoire dentaire à la fine pointe de la technologie

Nous répondons à tous vos besoins en matière de dispositifs prothétiques, des prothèses fixes et amovibles aux implants dentaires, en passant par les plaques occlusales.

Laboratoire dentaire

Le Laboratoire Dentaire Dentalliance à Montréal est votre partenaire en matière de fabrication de prothèses fixes et amovibles.

Prothèses dentaires, implants et plaques occlusales

Nous proposons une gamme complète de prothèses dentaires et de dispositifs pour répondre à tous les besoins de vos patients. Nos produits incluent des :

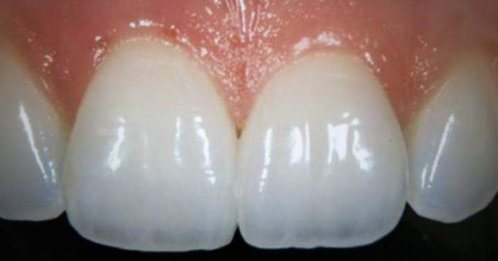
  • prothèses fixes : couronnes sur implants, couronnes en zircone, bridges et d’autres options de restauration dentaire,
  • prothèses amovibles : complètes, partielles, immédiates,
  • implants dentaires : solutions complètes, de la conception à la restauration finale,
  • plaques occlusales : fabrication sur mesure pour le traitement des troubles de l'articulation temporo-mandibulaire (ATM) et du bruxisme.

Notre laboratoire est doté d'une technologie dentaire avancée, incluant des équipements de pointe.

Notre laboratoire à Montréal est reconnu pour ses solutions innovantes en matière de remplacements et de protections dentaires.

Prothèse dentaire Montréal

De bonnes raisons de nous choisir

Nous combinons savoir-faire et technologie de pointe pour fabriquer nos produits prothétiques.

Plus de 20 ans d'expérience

Au fil des années, nous avons perfectionné nos techniques de fabrication de dispositifs prothétiques.

Service client dédié

Notre laboratoire réunit une équipe de professionnels attentifs entièrement au service des praticiens de la santé dentaire.

Service clientèle accessible et réactif

Nous vous répondons dans les plus brefs délais, vous informons sur l’état de votre commande et vous apportons une assistance personnalisée.

Technologie de pointe

Nous investissons continuellement dans les équipements les plus performants et les logiciels les plus récents.

Réactivité et délais rapides

Notre équipe est organisée pour optimiser chaque étape, de la conception à la fabrication, afin de livrer vos commandes dans les temps.

Services dédiés aux professionnels de la santé dentaire à Montréal et au-delà

Nous proposons un service de cueillette et de livraison sans frais dans les zones suivantes : Montréal, Québec, Laval, Longueuil, Gatineau, Sherbrooke, Trois-Rivières, Drummondville, Saint-Jean-sur-Richelieu et Boucherville.

Pour les autres régions, nous assurons une livraison rapide et fiable par Purolator, FedEx et UPS, dans un délai de 5 à 7 jours ouvrables. Pour les couronnes full contour et en zircone, c’est de 3 à 4 jours ouvrables. Pour les cas complexes des patients, nous les accueillons en laboratoire pour leur laisser choisir la couleur de la couronne la plus appropriée.

L’ajustement des couleurs par nos techniciens spécialisés est aussi possible, avant l’envoi chez le dentiste. Nous assurons également la réparation de prothèses amovibles en 1 jour ouvrable et sommes disponibles pour un service d'urgence 24/7.

Un service complet, de la collecte à la livraison des prothèses dentaires, avec des options personnalisées pour les cas complexes et les urgences.

Professionnel de la santé dentaire Montréal

Nos produits

Redonnez le sourire à vos patients : découvrez nos réalisations en prothèse fixe, amovible et implant dentaire.

Travaillez avec notre laboratoire dentaire
pour donner entière satisfaction à vos patients

Nous sommes constamment à la recherche de nouvelles solutions pour améliorer la qualité et l'esthétique de nos prothèses dentaires.